Bọc răng sứ mặc dù giúp khả năng ăn nhai được phục hồi, hàm răng có tính thẩm mỹ hơn, mang lại cho chúng ta sự tự tin trong giao tiếp khi sở hữu một nụ cười rạng rỡ. Thế nhưng, nếu như sử dụng sai kỹ thuật trong quá trình bọc răng sứ sẽ gây ra tình trạng sưng nướu, đau nhức răng, gây khó chịu khi ăn nhai cũng như một số biểu hiện kèm theo.
Các triệu chứng và nguyên nhân bị sưng nướu sau khi bọc răng sứ?
- Răng do tiêu xương nên bị lung lay gây ra tụt nướu: Khi đó, thành xương có độ rộng và chiều cao giảm dần nên khả năng nâng đỡ nướu không còn nữa, nướu lúc này sẽ tụt dần cũng như tách khỏi chân răng.
- Hơi thở dần trở nên có mùi hôi: do răng bị các vi khuẩn tấn công, xâm nhập và tại các mảng bám thức ăn, chúng tích tụ lại gây nên sâu răng cho chúng ta.
- Hút quá nhiều thuốc lá dẫn đến nướu tấy và sưng đỏ. Hơn nữa, ở nữ giới, sự thay đổi hormone cũng là nguyên nhân gây nên tình trạng sưng tấy nướu răng.
- Ê buốt răng vì ăn thức ăn có nhiệt độ quá lạnh hoặc nóng. Ngoài ra, việc khách hàng làm đẹp, làm trắng răng bằng các giải pháp như làm trắng răng cấp tốc hay cạo răng,… mà không tham khảo ý kiến của Bác sĩ ó chuyên môn cũng khiến răng dễ bị đau nhức, nhạy cảm, ê buốt.
- Sưng lợi do khách hàng có chế độ ăn uống không khoa học, lành mạnh, tiêu thụ quá nhiều chất béo, đồ ngọt, nhiều đường như: bánh ngọt, kẹo, so-da,…
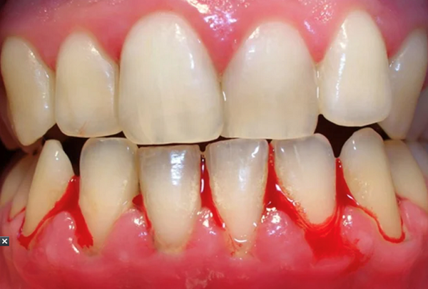
- Răng chảy máu: vì nướu răng bị tổn thương do chúng ta đánh răng không đúng cách hay sử dụng bàn chải quá cứng.

Chảy máu chân răng
- Sâu răng gây ra tình trạng chết tủy răng vì thức ăn bị giắt lại các kẽ răng trong quá trình ăn uống tạo điều kiện cho vi khuẩn phát triển.
- Viêm nướu do không chú ý vệ sinh răng miệng cẩn thận, sạch sẽ, không tuân thủ những chỉ định của bác sĩ về vấn đề chăm sóc răng sứ… hoặc đáh răng không kỹ, một ngày không đánh răng tối thiểu 2 lần…
Bọc răng sứ xuất hiện tình trạng sưng nướu gây ra cho người bệnh những ảnh hưởng gì?

Bọc răng sứ xuất hiện tình trạng sưng nướu gây ra cho người bệnh những ảnh hưởng gì?
Khi thấy xuất hiện ở răng sứ hiện tượng sưng nướu, nhiều người thường có tư tưởng chủ quan và cho rằng đây là tình trạng hết sức bình thường, không có gì đáng lo ngại cả. Tuy nhiên, vấn đề này lại ảnh hưởng đến sức khỏe răng miệng của bạn rất lớn. Cụ thể:
- Viêm lợi kéo dài sẽ làm chúng ta khi vệ sinh răng miệng bị chảy máu chân răng. Mức độ này theo thời gian sẽ chí có ngày càng nghiêm trọng hơn chứ không hề thuyên giảm đi nếu không được khám chữa, điều trị.
- Bên cạnh đó, tụt nướu răng cũng là tình trạng có nguyên nhân bắt nguồn từ sưng nướu răng sứ. Điều này điều kiện thuận lợi để vi khuẩn gây hại có thể xâm nhập dễ dàng và phá hủy chân răng.
- Sưng nướu sau khi bọc răng sứ nếu không kịp thời điều trị còn có thể khiến răng gặp phải nhiều vấn đề về xương, khiến răng của bạn dễ lung lay hoặc thậm chí là không thể hồi phục, vĩnh viễn mất răng.
- Càng ngày hơi thở càng nặng mùi, điều đó chắc chắn sẽ khiến bạn ngại ngùng, tự ti và khi giao tiếp gặp nhiều trở ngại.
- Sưng nướu sau khi bọc răng sứ trực tiếp ảnh hưởng đến vẻ đẹp, tính thẩm mỹ của nụ cười.

Sưng nướu sau khi bọc răng sứ trực tiếp ảnh hưởng đến vẻ đẹp, tính thẩm mỹ của nụ cười
Bọc răng sứ cần lưu ý gì để tránh bị sưng nướu?
Những thông tin sau là điều bạn nên lưu ý để ngăn chặn những ảnh hưởng xấu đến răng sứ:
- Thực hiện quy trình bọc răng sứ tại nha khoa uy tín, có đội ngũ y sĩ năng lực cao, đặc biệt là thông tin minh bạch, có giấy phép hoạt động.

Linn Dental – Nha khoa uy tín hàng đầu tại Hà Nội
- Thực hiện bọc răng sứ với quá trình đáp ứng được đầy đủ, nghiêm ngặt những tiêu chuẩn, quy định của Bộ Y tế.
- Nha khoa thẩm mỹ phải có cơ sở vật chất hiện đại, sạch sẽ, trang bị hệ thống máy móc tân tiến.
- Các bác sĩ thực hiện điều trị phải là người giàu chuyên môn, kinh nghiệm, có chứng chỉ hợp pháp và trong những tình huống đột xuất cần có khả năng xử lý nhanh nhẹn, chuẩn xác, linh hoạt.
- Răng sứ cần có đầy đủ những thông tin cần thiết, được nha khoa bảo đảm về nguồn gốc xuất xứ, vật liệu,…
Để ĐẶT LỊCH thăm khám và tư vấn, khách hàng có thể liên hệ trực tiếp qua số hotline 0774 96 96 96 hoặc qua Fanpage Linn Dental Clinic
