Hiện nay có hai loại trám răng phổ biến và thường được sử dụng nhiều nhất là trám trực tiếp và gián tiếp. Tùy vào mỗi kỹ thuật trám mà quy trình thực hiện sẽ có sự khác biệt.
Trám răng liệu có được bền hay không?
Hiện nay, tại các cơ sở nha khoa, với kĩ thuật trám răng hiện đại sẽ giúp thẩm mỹ của bạn được phục hồi 100% và đạt 90% về nhu cầu ăn nhai, hoàn toàn không có gì khác biệt so với răng thật bạn đầu. Vì vậy nên về độ bền cũng như độ dẻo dai của răng quý khách hàng có thể hoàn toàn yên tâm.
Các loại vật liệu trám răng hiện nay
Trám răng composite
+ Ưu điểm:
Mang lại thẩm mỹ cao, màu chất trám khi trám răng sẽ trùng tuyệt đối với màu sắc của răng thật, chất trám này cũng không ra gây tác hại nào cho răng, composite chống mòn cao và chịu lực lớn.

Chất trám composite
+ Nhược điểm: có thể duy trì màu chất trám composite trong khoảng thời gian từ 2-5 năm, sau đó màu sắc sẽ đổi sang sậm, vàng hơn thậm chí có thể chuyển sang màu đen. Vì tính co rút của composite nên sẽ bị ngấm nước theo thời gian và miếng trám có thể sẽ bong ra.
Trám răng bằng amalgam
+ Ưu điểm: Để trám răng thì đây là vật liệu bền và cứng nhất, trong amalgam có thành phần chính như thủy ngân, bởi vậy nên rất có hại cho răng. Ngoài ra loại trám răng này còn có giá thành rẻ, quá trình đặt miếng trám cũng khá dễ dàng.

Trám răng bằng Amalgam
+ Nhược điểm: Màu chì với màu răng không phù hợp, gây mất thẩm mỹ, chỉ có thể sử dụng cách này cho những răng ở trong cùng còn những răng trước thì không trám được. phần thân răng còn lại sau một thời gian bị amalgam ngấm vào sẽ có màu tối đi. Khi trám, răng bắt buột phải mài răng nhiều hơn cách trám composite.
Ximăng silicat
+ Ưu điểm: Vật liệu Ximăng silicat cũng là loại được sử dụng tại các nha khoa từ lâu. Tính thẩm mỹ của Ximăng silicat cao hơn Amalgam do có màu sắc khá tương đồng với màu răng thật. Xi-măng giá rẻ, dễ sử dụng, dẫn nhiệt kém, bám rất chắc vào răng nên sau khi hàn rất ít trường hợp bị rơi ra. Ngoài ra Flo còn có trong thành phần của một số loại ximăng silicat, vì vậy nên nó còn có khả năng chống sâu răng.

Trám Ximăng silicat
+ Nhược điểm: độ bóng của Ximăng silicat không cao, khả năng chống mòn và chịu lực khá, do đó chỉ dùng với mục đích để hàn mặt nhai, là nơi sâu răng dễ phát sinh và chịu tác động có cường độ lớn của ngoại lực.
Quy trình trám răng thông thường sẽ diễn ra như thế nào?
Quy trình trám răng trực tiếp

Trám răng trực tiếp
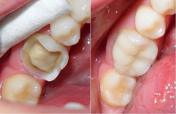
Trám răng trực tiếp có thể áp dụng cho nhiều tình trạng răng miệng của khách hàng và là quy trình nha khoa đơn giản. Thông thường, quy trình này sẽ được thực hiện chỉ sau một buổi thăm khám với các bác sĩ tại nha khoa là có thể hoàn thành. Quy trình diễn ra như sau:
- + Bệnh nhân được bác sĩ thăm khám và tư vấn: Trước tiên, chỗ răng cần trám sẽ được nha sĩ kiểm tra, xác định kích thước. Sau đó, một số loại vật liệu trong quá trình trám nên sử dụng cho chỗ trám bác sĩ sẽ tư vấn cho bạn.
 - + Tiến hành gây tê và chỗ cần trám được vệ sinh sạch sẽ: tại vị trí cần trám, bác sĩ sẽ gây tê cục bộ. Nếu khách hàng bị răng sâu, bác sĩ sẽ được dùng dụng cụ chuyên dụng để cạo sạch chỗ sâu, đồng thời loại bỏ cao răng hay vụn thức ăn.
 - + Tiến hành thực hiện trám: tại vị trí răng bị sâu hoặc lỗ sâu đã được làm sạch trước đó, nha sĩ sẽ dùng vật liệu trám để đổ vào. Vật liệu trám ban đầu ở dạng lỏng, sẽ dần đông cứng lại thông qua phản ứng quang trùng hợp sau khi chiếu laser trong khoảng 40 giây.
 - + Chỉnh sửa lại chỗ trám: Vết trám sẽ được điều chỉnh lại bởi nha sĩ và phần vật liệu trám dư thừa được loại bỏ. Cuối cùng, bác sĩ làm nhẵn và đánh bóng lại bề mặt vị trí trám, múc đích giúp răng không có cảm giác bị cộm hay khó chịu.
 
Thông thường, một quy trình trám răng trực tiếp sẽ diễn ra trong thời gian khoảng 20 đến 30 phút và sự thay đổi sẽ tùy vào vật liệu trám và tình trạng răng.
Quy trình trám răng gián tiếp
Inlay – Onlay: Quy trình trám răng gián tiếp là hiện nay được coi là phương pháp trám răng hiện đại, giúp giữa mô răng và miếng trám có thể giảm được khoảng cách kẽ hở. Bước thăm khám và gây tê ban đầu ở phương pháp trám răng gián tiếp cũng được tiến hành giống với trám trực tiếp. Điểm khác nhau ở hai cách trám răng này đó là nha sĩ sẽ lấy dấu hàm răng của bệnh nhân và làm thành miếng trám bên ngoài ở trám răng gián tiếp.

Quy trình trám răng gián tiếp
- + Lấy dấu hàm răng: Sau khi răng đã được vệ sinh sạch, dấu răng của bạn sẽ được bác sĩ sẽ lấy để tạo hình cho miếng trám theo đúng kích thước và hình dạng lỗ hổng. Tại các cơ sở nha khoa, thông thường bác sĩ sẽ hẹn bạn quay lại sau vài ngày để quy trình được tiếp tục hoàn thành.
 - + Gắn miếng trám lên răng:Sau khi chế tác, bác sĩ sẽ dùng xi măng chuyên dụng để gắn miếng trám vừa khít lên răng bệnh nhân. Thời gian để quy trình trám răng gián tiếp hoàn tất thường sẽ mất khoảng 30 – 45 phút với sau hai lần hẹn với nha sĩ.
 
Để ĐẶT LỊCH thăm khám và tư vấn, khách hàng có thể liên hệ trực tiếp qua số hotline 0774 96 96 96 hoặc qua Fanpage Linn Dental Clinic
