Răng hàm bị sâu dẫn đến vỡ chỉ còn lại chân răng là tình trạng mà nhiều người hiện nay đang mắc phải và nó cũng là nguyên nhân gây ra nhiều biến chứng, khiến sinh hoạt hàng ngày, sức khỏe răng miệng và sức khỏe toàn thân bị ảnh hưởng nặng nề đến.
RĂNG HÀM BỊ SÂU VỠ CHỈ CÒN CHÂN RĂNG CÓ GÂY BIẾN CHỨNG GÌ KHÔNG?
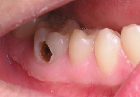
Nếu sâu răng không được điều trị sẽ dẫn đến phá hủy nhiều hơn các tổ chức cứng của răng, từ đó làm cho răng dễ vỡ, mẻ và sau cùng chỉ còn sót lại chân răng. Lúc này răng cũng mất đi chức năng ăn nhai.

Răng hàm bị sâu vỡ chỉ còn chân răng ảnh hưởng đến chức năng ăn nhai
Răng bị vỡ, mẻ cùng với việc sâu răng tạo hốc làm miệng hôi do hình thành nên những nơi khiến thức ăn mắc lại. Mặt khác, lợi ở kẽ răng khi răng bị vỡ, mẻ dễ làm hốc sâu răng bị lấp kín. Phần lợi này dễ chảy máu và sưng do khi ăn nhai bị chà sát gây tình trạng viêm nhiễm và đó cũng là lý do gây hôi miệng.
Sâu răng có thể ăn sâu xuống dưới, lâu dần lan đến cả vào tủy răng làm tủy răng viêm nhiễm khiến răng bị đau nhức. Khi vùng chóp răng bị lây lan viêm nhiễm của tủy sẽ gây nhiễm trùng. Lúc này răng lung lay, đau lại, lợi sưng to ở cạnh răng bị sâu vỡ, tạo thành ổ abscess chóp răng.

Sâu răng lan dần xuống dưới
Ổ nhiễm trùng khi lâu ngày bị viêm nhiễm vùng chóp sẽ lan rộng, khiến các răng xung quanh ảnh hưởng. Các răng lân cận tùy vào tình trạng ổ nhiễm trùng lan đến đâu để có hướng chữa trị xem có thể giữ lại để chữa được hay phải thực hiện nhổ.
Từ chóp răng, ổ nhiễm trùng lan rộng có thể gây viêm xương hàm, lan ra các tổ chức lân cận và phần mềm tạo thành một ổ nhiễm trùng khó kiểm soát.
Sự lan rộng của ổ nhiễm trùng sẽ phá hủy xương hàm do tạo nang to làm xương hàm bị gãy, thần kinh, mạch máu bị tổn thương…
RĂNG HÀM BỊ SÂU CHỈ CÒN CHÂN RĂNG nên XỬ LÝ NHƯ THẾ NÀO?
Ưu tiên hàng đầu đó là điều trị bảo tồn
Răng vĩnh viễn sẽ không có khả năng tự mọc lại nếu mất đi. Chính vì thế, khi các vấn đề với răng hàm được điều trị thì nguyên tắc luôn là ưu tiên các giải pháp bảo tồn. Ngay cả khi chỉ còn chân răng trong trường hợp răng hàm bị sâu thì nguyên tắc này vẫn không thay đổi.

Chữa răng hàm bị sâu vỡ sát lợi ưu tiên phương pháp bảo tồn răng thật
Ngoài ra, nguyên tắc điều trị bảo tồn răng khi hàm bị sâu còn dựa trên cơ sở là dù răng giả có tốt đến mấy thì vẫn không thể so sáng được với răng thật. Sau khi răng này được nhổ bỏ, người bệnh cũng sẽ phải mất tiền cho việc trồng răng mới.
Lỗ trống ở răng hàm bạn không thể để quá lâu vì có thể tiêu biến xương hàm và các răng bình thường trên hàm bị ảnh hưởng đến. Bên cạnh đó, vấn đề ăn uống và giao tiếp trong thời gian chờ trồng răng mới của người bị nhổ răng cũng gặp ảnh hưởng rất lớn.
Trường hợp chân răng vẫn còn tốt trong khi răng hàm bị sâu
Khu vực quanh chân răng, các bác sĩ sẽ vệ sinh và điều trị tình trạng trám bít ống tủy và nhiễm trùng ở tủy. Sau đó, răng sứ sẽ được bọc bên ngoài. Cách điều trị này vừa giúp chân răng được bảo tồn vừa mang lại tính thẩm mỹ cao.

Bọc răng sứ cho răng hàm bị sâu nếu chân răng vẫn còn tốt
Răng hàm bị sâu chỉ còn chân răng điều trị bảo tồn bằng giải pháp bọc răng sứ được các chuyên gia đánh giá cao. Tuy nhiên, rủi ro tồn tại của phương pháp này đến từ khâu chữa tủy trước khi bọc sứ và vệ sinh răng. Nếu thực hiện quá trình này không đúng nguyên tắc, tình trạng viêm nhiễm của chân răng vẫn tiếp tục, những ổ áp-xe hình thành nên và kéo theo rất nhiều những hệ lụy nguy hiểm khác.
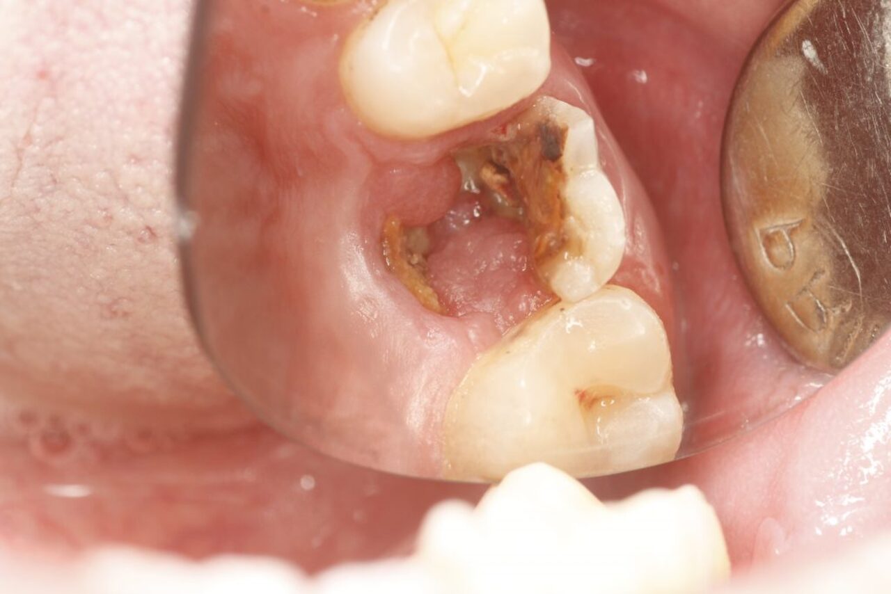
Trường hợp răng hàm bị sâu và chân răng hoàn toàn bị phá hủy
Nếu chân răng sau khi khám cho thấy đã bị hoàn toàn phá hủy thì có thể sẽ phải nhổ bỏ răng hàm bị sâu. Trước khi thực hiện, các bác sĩ cần phải tính toán kỹ lưỡng về rủi ro có thể gặp phải, đặc biệt nếu răng cần nhổ lại chính là chiếc răng cấm.

Răng hàm bị sâu đã hoàn toàn bị phá hủy
Vì vậy cần cân nhắc thực hiện nhổ răng tại nha khoa uy tín. Sau khi nhổ răng cũng cần nhanh chóng trồng lại răng mới để tránh được các biến chứng không mong muốn.
Đối với trường hợp răng số 8 là răng hàm bị sâu
Việc nhổ bỏ răng nếu là răng khôn thì lại là lựa chọn được ưu tiên. Bởi răng khôn thường gây nhiều vấn đề cơ hàm và cũng hầu như không có bất kỳ chức năng gì.

Nên nhổ bỏ nếu răng hàm bị sâu là răng số 8
Nếu răng khôn thông thường không gây ra phiền toái gì cho các răng khác và cũng không làm chúng ta bị đau đớn thì việc nhổ bỏ nó là không cần thiết. Ngược lại, nếu răng số 8 bị sâu hoặc gây đau nhức thì cần nhanh chóng nhổ bỏ.
Để ĐẶT LỊCH thăm khám và tư vấn, khách hàng có thể liên hệ trực tiếp qua số hotline 0774 96 96 96 hoặc qua Fanpage Linn Dental Clinic
=====???=====
?⚕️ Linn Dental Clinic – Tự hào là nha khoa số 1 về dán sứ Veneer
❣️ Địa chỉ:
CS1: Số nhà 96 phố Trung Phụng, Đống Đa, Hà Nội
CS2: Nhà phố số SH6-4, khu đô thị Times Garden, Hạ Long, Quảng Ninh
? Website: https://linndentalclinic.com/
☎️ Hotline: 0774 96 96 96
⏰ Thời gian làm việc: 8h30 – 20h tất cả các ngày.
