Sâu răng hiện nay có thể nói là loại bệnh lý không thể quen thuộc hơn đối với mỗi chúng ta. Sâu răng gây ra rất nhiều tác hại lớn nhỏ như: gây hôi miệng, làm người bệnh bị đau nhức, thậm chí có thể là tác nhân của rất nhiều căn bệnh nguy hiểm khác…
Vậy sâu răng có thể lây lan không? Nếu có thì chúng lây lan cho chúng ta qua những con đường nào?
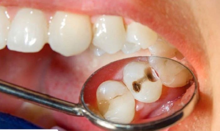
Sâu răng có lây không?
Vi khuẩn gây sâu răng trong khoang miệng là loại có thể ăn các chất đường dư thừa, sau đó gây hại cho răng bằng cách tạo ra một loại axit. Khi sự phát triển của chúng tăng lên sẽ hình thành các mảng bám ăn mòn men răng của bạn do chứa nhiều axit.

Sâu răng có lây không?
Sâu răng hay nói cách khác có nguồn gốc từ vi trùng nước bọt, thực phẩm, và axit bám vào răng tạo nên mảng bám, có khả năng khiến men răng mòn và hình thành sâu răng.
Dù chúng ta có ăn bất kể thứ gì, sâu răng vẫn có thể hình thành được nhờ sự trợ giúp của loại vi khuẩn này. Từ miệng người này sang người khác, chúng sẽ có cơ hội được lây lan, phát tán thông qua nhiều yếu tố sau:
Lây qua đường hôn nhau
Con đường trực tiếp để răng của bạn bị vi khuẩn gây sâu răng tấn công là hôn nhau. Nụ hôn càng nồng nhiệt và sâu thì càng giúp cho vi khuẩn có cơ hội “hoành hành” mạnh mẽ.

Hôn nhau cũng có nguy cơ lây sâu răng
Các chuyên gia nha khoa tại Mĩ cho biết, sự lây truyền của sâu răng được thông qua sự đổi nước bọt tiếp xúc và đường miệng.
Một nghiên cứu năm 1993 tại Phần Lan cho thấy, sẽ có một người bị sâu răng trong 4 cặp vợ chồng bất kỳ. Sau đó, đối phương của họ dần dần chắc chắn cũng sâu răng theo. Nguyên nhân khiến sâu răng lây lan như vậy là do Mutans – một loại vi khuẩn liên cầu phổ biến và có khả năng dễ dàng di chuyển gây ra.
Do gen di truyền
Các nhà khoa học cho rằng, con cái của gia đình có cha mẹ, ông bà, anh chị em,… bị sâu răng thì khả năng của họ cũng bị ảnh hưởng là cao. Khi người mẹ có men răng yếu hoặc trong thời kỳ mang thai thiếu chất canxi thì tất nhiên men răng của đứa trẻ cũng yếu theo. Điều đó cũng là thời cơ để vi khuẩn dễ dàng tấn công nhiều hơn.
Hắt hơi
Khi chúng ta hắt hơi, vi khuẩn sâu răng chứa trong nước bọt chứa cũng sẽ bắn ra và thật không may cho những người đối diện. Nhưng không phải ai thông qua đường này trong trường hợp như trên cũng bị lây sâu răng.

Sâu răng lây qua việc sử dụng những thực phẩm hay dụng cụ chung
Việc ăn chung thức ăn dùng chung bát đũa trong một tập thể, cùng một gia đình hoặc ăn uống trong hang quán kém vệ sinh, thậm chí là khẩu trang, bàn chải đánh răng,… cũng có thể là nguyên nhân không ngờ tới gây sâu răng.
Sâu răng hình thành do nhưng thói quen xấu
+ Từ xa xưa, các bà các mẹ vẫn còn giữ có thói quen trước khi bón cho con ăn thường tự nhai nhuyễn cơm. Điều này cũng để lại vi khuẩn có trong nước bọt lây truyền bệnh sâu răng cho con trẻ.
+ Cha mẹ thường có thói quen dùng miệng thổi sạch đồ vật khi trẻ đánh rơi đồ chơi, thức ăn hay bất kỳ thứ gì xuống đất, sau đó để con tiếp tục sử dụng. Đây là thói quen không ai chịu sửa đổi mặc dù ai cũng biết nó rất xấu và gây hại.
+ Trước khi ăn không rửa sạch tay cũng là nguyên nhân gia tăng các bệnh răng miệng.
Phòng ngừa sâu răng lây lan qua những biện pháp nào?
+ Đến nha khoa khám ngay khi bạn nhận thấy mình có thể mắc phải sâu rang qua các dấu hiệu như men răng đổi màu trên bề mặt, bờ lởm chởm, các lỗ sâu xuất hiện, có màu nâu đen, răng đau nhức và ê buốt.

Đến nha khoa khám định kỳ để phát hiện sâu răng sớm nhất
+ Sâu răng cần điều trị triệt để để các răng khỏe mạnh khác xung quanh tránh việc bị lây lan sang. Bác sĩ có thể chỉ định tùy theo mức độ sâu để bệnh nhân áp dụng các phương pháp như trám răng, sử dụng fluor, điều trị tủy (điều trị nội nha),…
+ Vệ sinh răng miệng thường xuyên và đúng cách (ngày chải răng từ 2 đến 3 lần, dùng chỉ nha khoa và dùng nước muối súc miệng). Ngoài ra, các thực phẩm như đồ ngọt và các thức uống chứa nhiều đường, axit nên hạn chế ăn.

Vệ sinh răng miệng sạch sẽ để ngăn ngừa sâu răng
+ Sâu răng ở giai đoạn đầu hầu như rất khó để phát hiện vì nó không gây ra triệu chứng khác thường nào. Vì vậy, trong năm bạn nên định kỳ khám 1 – 2 lần răng miệng. Khi đó bạn cũng sẽ được cạo vôi răng để sự phát triển của các chủng vi khuẩn có hại được ngăn ngừa.
+ Hạn chế ăn uống, dùng chung đồ dùng với người khác. Thói quen này sẽ khiến bạn bị sâu răng vì nó có thể gây lây nhiễm vi khuẩn Streptococcus mutans và nhiều chủng virus, vi khuẩn khác.
Để ĐẶT LỊCH thăm khám và tư vấn, khách hàng có thể liên hệ trực tiếp qua số hotline 0774 96 96 96 hoặc qua Fanpage Linn Dental Clinic
