Viêm lợi là bệnh lý răng miệng rất thường thấy, tuy mức độ nghiêm trọng không gây nguy hiểm cho tính mạng con người nhưng lại đem đến nhiều biến chứng rất nguy hại cho sức khỏe.
Viêm lợi xuất phát từ nguyên nhân nào?
Viêm lợi là bệnh lý ai cũng có thể mắc phải, trong đó nguyên nhân lớn nhất gây viêm lợi là do cách vệ sinh răng miệng chưa đúng cách.
Bên cạnh đó, kết quả của nhiều nghiên cứu cho thấy, viêm lợi có thể tăng nguy cơ mắc phải do: di truyền, nghĩa là các con trong một gia đình có bố hoặc mẹ mắc bệnh viêm lợi thì rất có thể, họ cũng dễ bị viêm lợi.

Viêm lợi do nguyên nhân nào?
Viêm lợi gồm 2 nhóm nguyên nhân như sau:
- Nhóm thứ nhất: là do yếu tố làm lợi giảm sức đề kháng và vi khuẩn có cơ hội gia tăng sự tấn công gồm:
+ Thời kỳ dậy thì hoặc thai nghén, trong cơ thể có sự thay đổi hormon khiến lợi dưới các kích thích của vi khuẩn có phản ứng mạnh hơn và viêm lợi gây nên do sản phẩm đào thải của vi khuẩn.
+ Viêm lợi ở những người thiếu hụt canxi, fluor, vitamin A, B, C, D,… làm các kích thích của vi khuẩn khiến lợi nhạy cảm hơn, chất lượng mô răng kém đi và dễ bị hoại tử niêm mạc.
+ Viêm lợi do người bệnh đang mắc phải các bệnh lý khác như: AIDS, tiểu đường, ung thư bạch cầu. Ngoài ra, viêm lợi cũng dễ xảy ra đối với người đang phải sử dụng thuốc: các thuốc điều trị động kinh, thuốc giảm huyết áp…
- Nhóm thứ 2: do cao răng.

Viêm lợi do cao răng
+ Dưới sự vôi hóa của mảng bám răng, hình thành nên cao răng. Không trơn nhẵn như bề mặt răng, cao răng có bề mặt gồ ghề nên các vi khuẩn có trong nước bọt dễ dàng bám dính lại hơn.
+ Cấu trúc của răng phức tạp như rãnh lõm, các lồi men vùng cổ răng, hay răng chen chúc lệch lạc tạo điều kiện cho mảng bám dễ tích tụ, khó làm sạch.
- Ngoài ra, do răng giả hay miếng trám răng dưới hoặc sát lợi:
+ Khi bị phồng ra hoặc so với răng ban đầu không được làm nhẵn sẽ làm các kẽ răng bị nhồi nhét thức ăn, vệ sinh răng khó khăn, từ đó các mảng bám vi khuẩn được lưu giữ.
+ Trám răng có thời gian phục hình càng dài thì vùng quanh răng tổn thương càng nặng…
Viêm lợi có các giai đoạn phát triển nào?
Viêm lợi thông thường cơ bản sẽ trải qua 2 giai đoạn sau đây:
Viêm lợi cục bộ
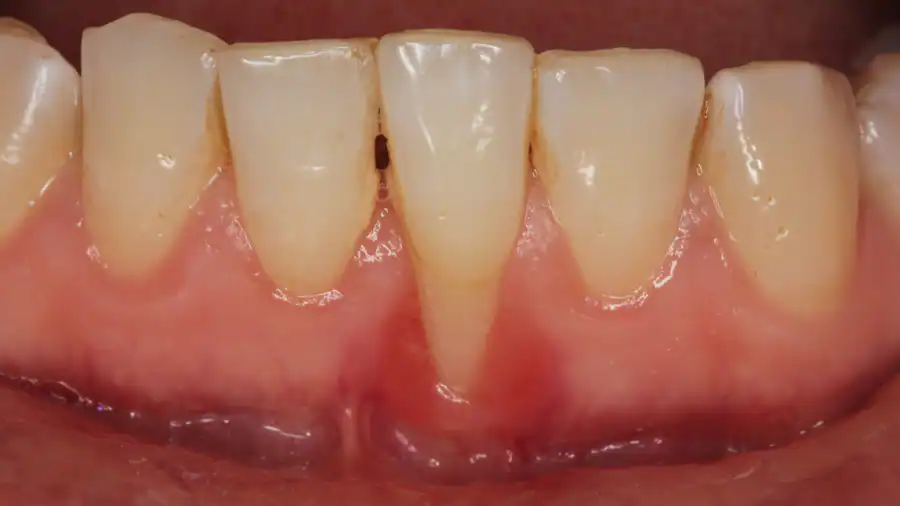
Ở giai đoạn này người bệnh thường không cảm thấy đau đớn gì. Lợi lúc này sẽ sưng đỏ, bị phồng to hoặc nếu gặp phải tác động sẽ chảy máu, đặc biệt là khi chúng ta đánh răng.

Viêm lợi cục bộ
Viêm lợi trong giai đoạn này chưa làm ảnh hưởng đến chân răng và những tổ chức quanh răng. Vì vậy người bệnh khi phát hiện mắc viêm lợi nên nhanh chóng chữa trị bởi khả năng khỏi dứt điểm là cao.
Viêm lợi cận răng
Dấu hiệu nhận biết viêm cận răng đó là thường bị mảng vụn thức ăn tích tụ nhiều tại các khoảng trống giữa lợi và răng.
Viêm lợi lúc này nếu không được điều trị, chăm sóc đúng cách sẽ khiến đẩy lùi ra phía sau lớp lợi và xương hàm ở phía trong cùng. Từ đó khu vực quanh răng tạo nên những lỗ hổng.

Viêm lợi cận răng
Giữa lợi và răng, các khoảng trống dễ gây nhiễm khuẩn do thường xuyên bị nhiều mảng vụn thức ăn tích tụ. Khi ở dưới vòm lợi tích tụ nhiều bựa răng sẽ làm cơ thể phải nỗ lực chiến đấu với vi khuẩn.
Trong cơ thể, những độc tố, chất enzyme tích tụ sẽ khiến phá hủy mô liên kết, hàm. Lợi lúc này sẽ viêm nhiễm, sưng đỏ, đau nhức, chảy máu, sưng má, hơi thở có mùi hôi, …
Thấy được những tác hại vô cùng khó lường ấy của viêm lợi, chúng ta cần có ý thức bảo vệ sức khỏe răng miệng của mình thật tốt, nên đến nha khoa thăm khám định kỳ để phát hiện kịp thời nếu như bản thân đang có dấu hiệu mắc viêm lợi. Từ đó có biện pháp ngăn chặn nhanh chóng.

Đến nha khoa thường xuyên để phòng bệnh viêm lợi
Mọi thắc mắc vui lòng liên hệ ngay với Nha Khoa Linn để được tư vấn miễn phí các vấn đề về răng nhé!
=====???=====
?⚕️ Linn Dental Clinic – Tự hào là nha khoa số 1 về dán sứ Veneer
❣️ Địa chỉ:
CS1: Số nhà 96 phố Trung Phụng, Trung Phụng, Đống Đa, Hà Nội
CS2: Nhà phố số SH6-4, khu đô thị Times Garden, Hạ Long, Quảng Ninh
? Website: https://linndentalclinic.com/
☎️ Hotline: 0774 96 96 96
⏰ Thời gian làm việc: 8h30 – 20h tất cả các ngày.
