Viêm lợi trong các bệnh lý về răng miệng là một bệnh lý khá hay gặp. Bệnh viêm lợi khiến người bệnh bị sưng đỏ, chảy máu, miệng hôi… Để hiểu biết thêm về loại bệnh lý này, mời các bạn đón đọc bài viết dưới đây của Linn Dental.
Viêm lợi là gì?
Viêm lợi trong tiếng anh được gọi là Gingivitis. Đây là hiện tượng viêm diễn ra do các vi khuẩn gây ra nhiễm trùng tại nướu tạo nên. Lợi bị tổn thương có tác nhân chính là các mảng bám trên răng. Các mảng bám này là mầm mống tạo cơ hội phát triển vi khuẩn cơ.

Viêm lợi là gì?
Trong vòng 24 giờ, trên răng các mảng bám tích tụ sẽ bị cứng và khi đó cao răng được tạo thành. Nếu chỉ dùng các cách vệ sinh bình thường sẽ rất khó để răng miệng được làm sạch.
Lúc này, các sĩ sẽ dùng đến dụng cụ hoặc thiết bị nha khoa để vệ sinh răng miệng cho bệnh nhân.
Mặc dù viêm lợi không phải là loại bệnh gây nguy hiểm gì cho tính mạng con người nhưng lại trở thành trở ngại rất lớn cho người bệnh trong giao tiếp, khiến họ mặc cảm, mất tự tin.
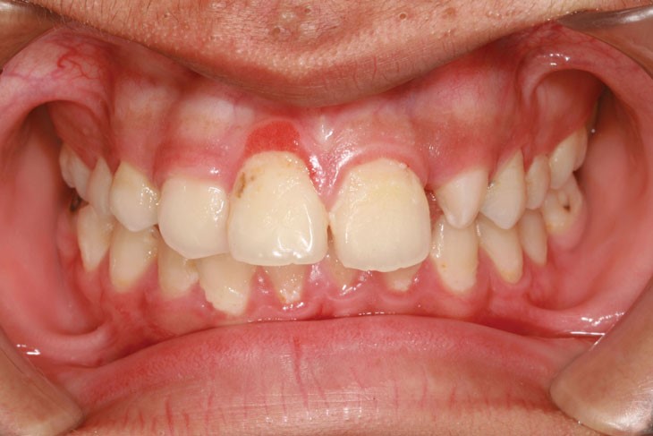
Phần nướu của bạn khi bị bệnh viêm lợi sẽ xuất hiện dấu hiệu sưng và đỏ. Nhiều người thường không kịp thời chữa trị vì nghĩ nó sẽ tự khỏi. Tới giai đoạn bệnh chuyển sang nặng, để điều trị triệt để sẽ rất khó do lợi chảy máu, hoặc thậm chí răng bị rụng.
Tìm hiểu chi tiết về những nguyên nhân gây viêm lợi
Viêm lợi có nguyên nhân phổ biến nhất bắt nguồn từ việc vệ sinh răng miệng kém, lâu ngày hình thành nên mảng trên răng, khiến các mô xung quanh nướu bị viêm.

Viêm lợi hình thành do đâu?
Dưới đây là cách mảng bám có thể dẫn đến viêm lợi:
Hình thành mảng bám trên răng:
Mảng bám răng đóng vai trò như một lớp màng vô hình. Trên răng chủ yếu là vi khuẩn hình thành khi trong thức ăn có đường và tinh bột tương tác với vi khuẩn thường có trong miệng.
Cần loại bỏ mảng bám răng thường xuyên vì nó có khả năng nhanh chóng hình thành lại.
Mảng bám chuyển hóa thành cao răng:

Mảng bám chuyển hóa thành cao răng
Trên răng, dưới đường viền nướu, các mảng bám có thể cứng lại thành cao răng (vôi răng), là nơi lý tưởng để vi khuẩn tích tụ. Cao răng làm cho việc loại bỏ mảng bám khó khăn hơn, trở thành lá chắn bảo vệ vi khuẩn và dọc theo đường viền nướu gây kích ứng. Lúc này, để loại bỏ cao răng, bạn cần được thực hiện làm sạch răng chuyên nghiệp.
Viêm lợi (Nướu bị viêm):
Trên răng, cao răng và mảng bám lưu lại càng lâu thì càng khiến nướu bị kích ứng, quanh chân răng phần nướu sẽ bị viêm. Theo thời gian, dễ bị sưng và chảy máu tại phần nướu.

Viêm lợi
Viêm lợi cũng có thể có nguyên nhân từ việc do răng sâu. Nếu viêm lợi không phát hiện và được điều trị, có thể tiến tới viêm nha chu và cuối cùng gây mất rang cho người bệnh.
Viêm lợi được điều trị bằng cách nào?
– Vệ sinh răng miệng: Viêm lợi ở mức độ nhẹ có thể kiểm soát được tốt và điều trị khỏi hẳn nếu bạn vệ sinh răng miệng đúng cách. Ngoài việc đi lấy cao răng theo định kì một năm 2 lần, thì hằng ngày để tránh tổn thương lợi cần đánh răng bằng bàn chải mềm.

Vệ sinh răng miệng sạch sẽ để ngừa viêm lợi
Với bệnh nhân viêm lợi, bác sĩ sẽ lưu ý cho người bệnh có thể hẹn lịch 3 tháng 1 lần đến nha khoa vệ sinh răng miệng, lấy cao răng bằng dụng cụ chuyên nghiệp.
Ngoài ra, chúng ta nên sử dụng nước súc miệng chứa các chất kháng khuẩn như hydrogen peroxide hexetidin, chlorhexidin, zin gluconat, chlorinedioxid…
– Dùng thuốc để điều trị viêm lợi: nếu bệnh viêm lợi của bạn đã chuyển nặng, bac sĩ sẽ chỉ định cho bệnh nhân sử dụng một số loại thuốc sau:
+ Thuốc giảm đau: như paracetamol, giúp triệu chứng đau được giảm bớt do viêm lợi.
+ Kháng sinh: Nhóm kháng sinh macrolid, beta-lactam có tác dụng trừ khử các vi khuẩn trú ngụ có trong nướu răng.
+ Kháng viêm non-steroid (diclophenac, ibuprofen, meloxicam…) được chỉ định cho bệnh nhân khi gặp phải vấn để như đau, sưng đỏ do viêm nướu răng. Lưu ý để tránh tác dụng phụ cần uống thuốc lúc no.

Viêm lợi được điều trị bằng thuốc
Trường hợp viêm lợi phì đại, khi cần thiết bác sĩ có sẽ tiến hành cắt bỏ lợi thừa.
Nếu bệnh nhân đang uống các loại thuốc gây tác dụng phụ trên phì đại lợi, lợi làm viêm (thuốc ức chế miễn dịch, thuốc chẹn kênh canxi điều trị tăng huyết áp, thuốc chống co giật) nếu có thể cần ngừng lại ngay.
Có thể cân nhắc trong trường hợp bệnh nhân không thể ngừng thuốc, sẽ đổi sang thuốc khác có tác dụng tương tự.
Nếu còn bất kỳ thắc mắc nào vui lòng liên hệ ngay với Nha Khoa Linn để được tư vấn miễn phí các vấn đề về răng nhé!
=====???=====
?⚕️ Linn Dental Clinic – Tự hào là nha khoa số 1 về dán sứ Veneer
❣️ Địa chỉ:
CS1: Số nhà 96 phố Trung Phụng, Trung Phụng, Đống Đa, Hà Nội
CS2: Nhà phố số SH6-4, khu đô thị Times Garden, Hạ Long, Quảng Ninh
? Website: https://linndentalclinic.com/
☎️ Hotline: 0774 96 96 96
⏰ Thời gian làm việc: 8h30 – 20h tất cả các ngày.
